투명 교정
아무도 모르게
투명 교정
투명 교정
투명 교정은 투명한 플라스틱 장치를 이용한 교정으로, 티가 나지 않고 탈착이 가능하여 양치질이 편합니다.
하루 최소 20시간 이상 착용할 수 있어야 원하는 교정 효과를 얻을 수 있습니다.
하루 최소 20시간 이상 착용할 수 있어야 원하는 교정 효과를 얻을 수 있습니다.
투명 교정의 장점
- 01투명하여 심미성이 뛰어남
- 02탈착이 가능하여 구강 위생과 청결 유지 가능
- 03치아에 부착되는 부분이 없어서 편안함
- 04얇은 두께와 부드러움으로 상처와 통증이 덜함
부분교정
- 외모가 중요한 직업을 가지고 계신 경우
- 취업이나 결혼 등 특별한 이벤트가 있어 장치교정을 망설이시는 경우
- 어금니는 그대로 유지하고 앞니만 살짝 바꾸고 싶은 경우
- 기존 장치로 교정을 했는데 약간의 재교정을 원하는 경우
투명 교정 치료과정
첫번째 내원
상담 및 진단 준비 -> 전화로 예상 장치 개수와 기간 설명
두번째 내원
첫 장치 시작 및 주의사항 설명
세번째 내원
오실 때마다 본을 떠서 새로운 장치를 제작
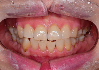
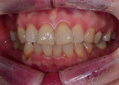
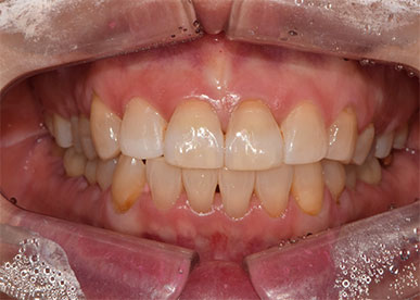
투명 교정 전/후
6개월 경과
1년 경과

4개월 경과
6개월 경과
탈착식 교정 장치 사용 시
-
01하루 18-22시간 장착이 필요합니다.
-
02새로운 장치를 처음 끼실 때에는 잘 맞지 않는 부분이 있는 것이 정상입니다.
-
03빼실 때에는 어금니 쪽을 먼저 빼 주세요.
-
04뜨거운 음료나 커피 등 색깔이 있는 음료를 드실 때에는 장치를 빼고 드세요.
-
05장치가 변형되거나 분실하셨을 때에는 즉시 치과로 연락주세요.












