크리스탈 치아미백
누렁니 안녕, 눈부신 하얀치아
크리스탈 치아미백
크리스탈 치아미백
서울탑치과병원의 크리스탈 치아미백은 치아를 하얗고 밝게 만들어 주면서 치아를 손상시키지 않는
세이프 미백으로 1~2회 만에 원하는 밝은 치아 색상을 얻을 수 있습니다.
크리스탈 치아미백은 치아 보호 프로그램을 통해 치아미백 후 치아의 시림이 훨씬 덜합니다.
세이프 미백으로 1~2회 만에 원하는 밝은 치아 색상을 얻을 수 있습니다.
크리스탈 치아미백은 치아 보호 프로그램을 통해 치아미백 후 치아의 시림이 훨씬 덜합니다.
크리스탈 치아미백의 특징

서울탑치과 병원의
올세라믹
올세라믹
치료시간
30분
치료 후 관리
총 2회 시술권장
회복기간
즉시 식사 가능
병원내원
시술당일 1회
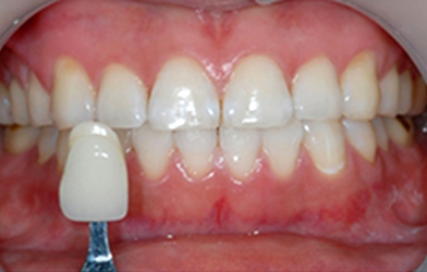
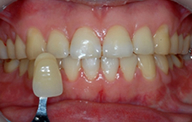
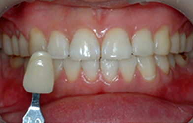
자가치아 색상 체크하기

치료전
Shade tab : A3.5
1회 미백
Shade tab : A2
2회 미백
Shade tab : A1
치아 미백 후 주의사항
미백 후 치아 속에 침투한 미백제는 24~48시간 동안 작용하며 미백효과를 일으킵니다. 때문에 시술 후 24~48 시간 동안 커피와 담배, 색소가 많이 함유된 음식 삼가는 것이 좋습니다.
아주 뜨겁거나 차가운 음식물은
피하는 것이 좋습니다.
피하는 것이 좋습니다.
전문가 치아미백
- - 미백제를 바른 후 병원에 준비되어 있는 특수 광원을 이용하여 미백제를 활성화 시킵니다.
- - 1 cycle에 15분이 소요되며, 미백제 교체 후 추가로 15분 미백을 하게 됩니다.
- - 1회 치료 시 2cycle을 진행하게 되며 한번 내원 시 총 30분의 시간이 소요됩니다.
- - 일반적으로 2회의 치료를 권장하고 있습니다.
장점자가미백보다 빠른 효과를 볼 수 있습니다. (1~2회의 치과 방문 만으로 충분한 미백 효과를 볼 수 있습니다.)
자가 치아미백
- - 치과 방문 후 치아 본을 떠서 개개인의 치아에 맞도록 맞춤 제작된 트레이(tray)가 제작됩니다.
- - 트레이를 이용하여 집에서 미백을 하게 됩니다. 트레이 내에 미백약제를 넣고 입안에 장착하시면 되고 주로 자는 동안 사용합니다. 기간은 2~3주 정도 소요됩니다.
장점이시림 증상이 전문가 치아미백에 비해 덜함
단점전문가 치아미백에 비해 시간이 오래 걸림
크리스탈 치아미백

착색되어 어둡고 탁하였던 치아 상태였습니다.

미백치료를 통해 밝고 하얀 치아를 되찾으셨습니다.












