서울탑치과

MENU
치아성형센터
라미네이트
SEOULTOP DENTAL
최소 치아 삭제스마일핏 라미네이트
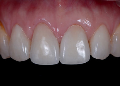
서울탑치과병원 스마일핏 라미네이트는 미관상의 목적으로 치아의 바깥 부분 범랑질(에나멜) 순면 표면을 최소한으로 삭제하여,
두께 0.1~0.2mm로 자연치에 가까운 투명도와 색을 구현하여 실제 치아처럼 자연스러운 치아를 나타냅니다.
사람마다 조금 차이가 있지만 되도록 치아를 삭제하지 않으며, 필요시 치아를 다듬는 경우도 있습니다.
스마일핏 라미네이트

2020.06

2020.06

2020.06

스마일핏 라미네이트의 특징 및 장점
  • 01 치아를 삭제하지 않거나 필요 시 다듬는 정도로 치아 보존 가능
  • 02 치아의 일부부터 치아 전체를 덮는 디자인까지 원하는 모양대로 다양한 형태 제작 가능
  • 03 자연치아와 같은 투명도와 색으로 자연스러움
  • 04 레진보다 우수한 강도
  • 05 간편한 시술로 통증 미미
스마일핏 라미네이트 적용대상
  • 벌어진 치아(치아 사이의 공간이 있는 경우)
  • 왜소치(작은 치아)
  • 크기가 서로 다른 치아
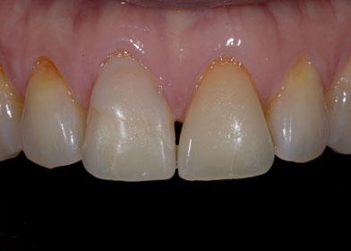
  • 변색된 치아(기존 치료가 변색된 경우)
  • 누런 치아
  • 교정 후 모양 변경
  • 들어간 치아(덧니)
  • 깨진 치아
  • 앞니에 충치가 생긴 경우
왜 서울탑치과병원무삭제 라미네이트인가?
01 처음 계획부터 다르다.
무삭제 라미네이트는 보통 우리 치아 중 가장 잘 보이는 앞니 치료에 시행합니다.
앞니는 무엇보다 심미성이 중요하며, 서울탑치과병원은 십년이 넘게 다양한 라미네이트를 경험하여
이상적인 치아의 비율을 잘 알고 있습니다.
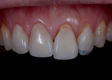
02 개인에 맞는 치아 제작
- 축성 제작 방법
무삭제 라미네이트로 치아를 삭제하지않고 원래의 치아를 보존하여 그 위에 붙이는 방식으로,
붙이는 치아가 얇아야 평소처럼 말하거나 음식을 섭취할 때 이질감이 덜합니다.
서울탑치과병원 스마일핏 라미네이트는 손으로 직접 다양한 재료와 다양한 방법으로 한겹씩 레이어를 쌓아 시간이 많이 걸리지만
자연치와 가까운 투명도와 얇은 두께를 실현할 수 있습니다.
- 첨단 장비 세렉(CEREC)사용
치아제작 로봇 ‘세렉’을 사용하여 치아를 제작하며, 보다 단단한 재료를 사용하여 내구성이 아주 뛰어나며
경우에 따라 하루만에 제작이 가능합니다.

손보다 빠르고 정확하게!

세렉시스템으로

1-DAY 라미네이트

‘세렉(CEREC)’은 독일 Sirona의 첨단장비로 빠른 시간내에 정교한
보철물을 제작할 수 있습니다.

세렉을 활용한 보철물 제작과정
03 잘 떨어지지 않는 치아 접착
서울탑치과병원만의 접착 기술로 라미네이트를 부착하면 잘 떨어지지 않은 높은 유지력으로 탈락률이 매우 낮습니다.
또, 플룸라미네이트는 0.1mm로 손에 올려 보면 비칠 정도로 매우 얇아 접착제 색 또한 환자의 치아색에 맞춰
원하는 치아색이 나올 수 있도록 심미적인 효과를 높여줍니다.
tel
온라인 예약 및 상담