네비게이션(가이드)임플란트
3D CT를 통한 정확한 수술 계획으로
잇몸 절개 없이 정확하게
잇몸 절개 없이 정확하게
네비게이션 임플란트는 길을 알려주는 네비게이션처럼 치조골의 구조와 신경 위치를 파악하여 정확하게
임플란트를 식립할 수 있는 임플란트 방법을 말합니다. 네비게이션 임플란트는 3D CT를 통해 입체 영상으로 정확한 수술 계획을 세우고,
CT자료를 기반으로 구강에 끼우는 보조장치를 제작하여 잇몸 절개없이 작은 구멍을 뚫어 임플란트를 식립하여,
잇몸을 절개하는 수술방법보다 통증과 출혈이 적어 비교적 회복이 빠르게 나타납니다.
임플란트를 식립할 수 있는 임플란트 방법을 말합니다. 네비게이션 임플란트는 3D CT를 통해 입체 영상으로 정확한 수술 계획을 세우고,
CT자료를 기반으로 구강에 끼우는 보조장치를 제작하여 잇몸 절개없이 작은 구멍을 뚫어 임플란트를 식립하여,
잇몸을 절개하는 수술방법보다 통증과 출혈이 적어 비교적 회복이 빠르게 나타납니다.
네비게이션(가이드) 수술영상
네비게이션(가이드)임플란트의 장점
컴퓨터를 통한 정확한 수술 계획
첨단수술 보조장치(가이드)
계획을 통해 미리 준비된 보철로 바로 식립 가능
사전 계획을 통한 수술로 보다 빠르고 정확하다!
컴퓨터를 통해 치조골의 구조와 신경위치를 확인하여 정확하게 수술 계획을 세워 보조장치를 제작하여
보다 빠르고 정확하게 임플란트를 식립할 수 있습니다.
보다 빠르고 정확하게 임플란트를 식립할 수 있습니다.
CT촬영
디지털 인상채득
디지털 임플란트 계획
최첨단 디지털 장비로 정확하고 안전하게 수술을 계획한다!
수술 후 보철을 위한 대기시간 50분
수술 후 보철이 가능(경우에 따라 다름)
수술 당일 보철이 가능하다!

잇몸을 절개하지 않기 때문에 통증과 출혈이 거의 없다!
잇몸을 절개하지 않고 미리 제작한 보조장치를 통해 작은 구멍으로 임플란트를 식립하여 붓기와 출혈 및 통증이 거의 없습니다.
또, 염증 및 감염 위험이 줄어 비교적 빠르게 회복할 수 있습니다.
또, 염증 및 감염 위험이 줄어 비교적 빠르게 회복할 수 있습니다.
네비게이션(가이드) 과정
치료시간
한 치아 당 10여분
치료과정
최소절개로 붓기와 통증 감소
치료 후 회복
최소절개로 붓기와 통증 감소
회복기간
즉시 식사 가능
디지털 가이드 임플란트
수술 케이스
수술 케이스
수술계획
3차원 컴퓨터 입체 영상을 통해 치조골의 구조와 신경위치를 분석하여 임플란트의 식립위치, 방향 등을 결정합니다.
가이드 수술
분석한 정보로 보조장치와 보철물을 정밀하게 제작하여 임플란트 수술에 적용합니다.
즉시 보철
잇몸을 절개하지 않고 임플란트를 식립하며, 당일에 보철이 가능합니다. (뼈 상태에 따라 치료기간이 길어질 수 있습니다.)
수술 후
임플란트 수술 후 즉시 식사가 가능합니다.
일반임플란트 vs 네비게이션(가이드)임플란트
일반임플란트
수술 방법
수술 시 신경손상의 위험이 항상 존재하며, 다른 치아 및 구조물에 손상을 줄 가능성도 존재함
기간잇몸을 절개하여 임플란트 식립 후 보철까지 3~6개월 정도 걸림
통증 및 부작용통증과 출혈이 있으며, 부종이 나타날 수 있음
네비게이션(가이드)임플란트
2020.06
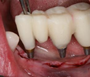
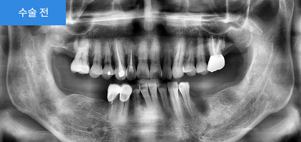
아랫부분에 틀니를 사용하시다가 불편하셔서 방문하셨습니다.
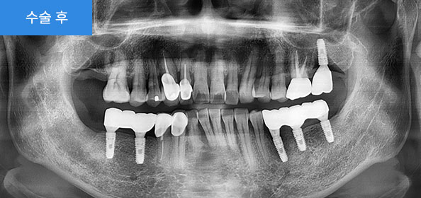
2021.04
치아가 없는 아랫부분에 네비게이션(가이드)임플란트로, 기존에 뺐다 꼈다 했던 불편한 틀니 대신 좀 더 음식을 잘 씹을 수 있는 임플란트로 진행하였습니다.
* 임플란트 시술 시 교합이상,신경손상,염증 등의 부작용이 발생할 수 있습니다.
* 의료진과 충분한 체크와 상담을 통해 문제점을 예방하고 최소화 할 수 있습니다.
* 의료진과 충분한 체크와 상담을 통해 문제점을 예방하고 최소화 할 수 있습니다.












