서울탑치과

MENU
치아성형센터
올세라믹
SEOULTOP DENTAL
치아와 가장 비슷하게
올세라믹
올세라믹은 치아의 앞면만 감싸주는 라미네이트와 달리 치아 전체를 감싸주는 방법입니다.
치료할 치아의 부위가 넓거나 마모, 불규칙이 심해 라미네이트로 치료가 불가능하다면 올세라믹으로 치료가 가능합니다.
앞니가 돌출되었거나 치아배열이 좋지 않은 경우, 심한 충치로 치아 손상이 심한 경우 올세라믹 치료 대상입니다.
올세라믹 치료영상
올세라믹의 특징 및 장점
  • 01 실제 치아와 거의 유사하여 심미적으로 매우 우수
  • 02 심한 불규칙 치아도 원하는 대로 디자인 가능
  • 03 자연치 만큼 튼튼한 강도
  • 04 시간이 지나도 변함 없는 모양과 색상
올세라믹 적용대상
  • 덧니와 불규칙, 돌출이 심한 치아인 경우
  • 치아가 지나치게 크거나 뾰족한 경우
  • 앞니 사고나 충치로 신경치료가 필요한 경우
  • 치아의 위치나 모양 개선이 크게 필요한 경우
올세라믹 주의사항
치실을 이용하여 구강 청결 관리를
철저히 하셔야 합니다.
아주 뜨겁거나 차가운 음식물은
피하는 것이 좋습니다.
정기적으로 치과를 내원하여
스케일링과 검진을 받으셔야 합니다.
서울탑치과 병원의
올세라믹
마취

무통증 국소마취

치료시간

30분~1시간 당일 제작 가능

치료 후 관리

정기검진

회복기간

즉시 식사 가능

세렉 (CEREC)

손보다 빠르고 정확하게!

세렉시스템으로

1-day 라미네이트

‘세렉(CEREC)’은 독일 Sirona의 첨단장비로 빠른 시간내에 정교한
보철물을 제작할 수 있습니다.

세렉을 활용한 보철물 제작과정
서울탑치과병원
자체 기공실 운영
서울탑치과병원은 자체 기공실을 운영하여 환자에게 꼭 맞는 보철물을 제작하고 있습니다.
자체 기공실 운영을 통해 진료시간과 내원 횟수를 단축하며, 당일 보철 제작도 가능합니다.
CEREC뿐 아니라 최첨단 장비를 도입하여 True 디지털 치료에 걸맞는 최고의 보철물을 제작하며, 디지털 치료에 앞장서고 있습니다.
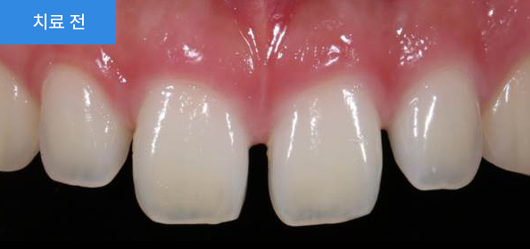
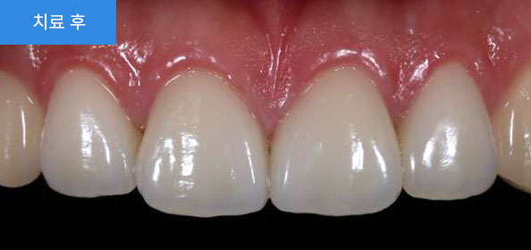
올세라믹 치료 전/후

앞니 사이 사이가 벌어져 있고 치아의 길이도 서로 다른 상태였습니다.

앞니 사이 사이가 벌어져 있고 치아의 길이도 서로 다른 상태였습니다.

top
tel
온라인 예약 및 상담