의도적재식술
의도적재식술
신경치료를 해도 뿌리 쪽에 염증이 없어지지 않거나 신경관이 막혀 있어서
정상적으로 치료를 할 수 없을 때 잇몸을 절개하고 염증부위를 제거 후
뿌리 쪽에서 다시 신경치료를 하는 것을 말합니다.
정상적으로 치료를 할 수 없을 때 잇몸을 절개하고 염증부위를 제거 후
뿌리 쪽에서 다시 신경치료를 하는 것을 말합니다.
의도적재식술의
뿌리 끝에 염증이 생겼으나 치근단절제술을 할 수 없는 경우
의도적 재식술로 치아를 살릴 수 있는 경우
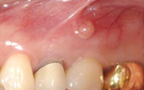
뿌리끝에 염증이 생겨 옆으로 튀어나온 모습입니다. 재식술에 의해 치료 후 원래의 치아를 계속 사용합니다.
의도적재식술의 장점
- 01직접 눈으로 보면서 환부를 치료를 할 수 있기 때문에 통상적인 신경치료보다 더 확실히 병소를 제거할 수 있습니다.
- 02본인의 치아를 그대로 사용하면서 손실된 뼈가 새로 생기게 하고 조직 재생도 유도할 수 있다는 점에서 가장 인체 친화적인 치료법입니다.
- 03치료 후 보다 편안함을 느낄 수 있으며 심리적 안정감 및 자연치아와 같이 씹는 감각을 가질 수 있습니다.
- 04자연치아가 그대로 유지되기 때문에 잇몸과 주변 뼈의 외형도 자연스럽게 보존할 수 있어 보기에도 좋습니다.
Check
의도적재식술의
한계
* 의도적 재식술의 주의사항을 알려드립니다.
- 다시 심는 치아 상태가 건강하고 주변 잇몸상태도 양호해야 합니다.
- 시술 과정에서 확인할 수 있는 치아의 상태에 따라 시술자체가 불가능한 경우가 있습니다.
- 시술 과정에서 확인할 수 있는 치아의 상태에 따라 시술자체가 불가능한 경우가 있습니다.
- 시술 후 약 4주간은 해당치아에 무리한 힘이 가해지지 않도록 주의해야 합니다.
의도적재식술 과정

STEP 1
해당치아를 조심스럽게 발치합니다.

STEP 2
발치한 치아를 구강 외에서 치료합니다.

STEP 3
치료한 치아를 제자리에 넣습니다.

STEP 4
수술 후 7~8주후면 치아가 단단히 고정되며 보철치료 후 사용합니다.












