스마일라인 잇몸성형
치아를 더 돋보이게 하는
스마일라인 잇몸성형
스마일라인 잇몸성형
웃을 때 잇몸이 드러나 보이거나 잇몸 라인이 불규칙하여 이쁜 웃음을 가질 수 없을 경우
물방울레이저를 이용하여 이쁘고 아름다운 스마일 라인을 만들 수 있습니다.
물방울레이저를 이용하여 이쁘고 아름다운 스마일 라인을 만들 수 있습니다.
스마일라인 잇몸성형의 특징

서울탑치과 병원의
스마일라인 잇몸성형
스마일라인 잇몸성형
치료시간
10~30분
마취
바르는 마취
치료 후 관리
경우에 따라 2~3회 시술
회복기간
즉시 식사 가능
병원내원
시술당일 1회
스마일라인 잇몸성형
- 웃을 때 지나치게 잇몸이 많이 보이는 경우
- 좌우 잇몸의 크기가 대칭되지 못하거나 스마일라인과 조화되는 경우
- 잇몸이 치아를 많이 덮어 치아가 작아 보이는 경우
잇몸 성형 후 주의사항
2~3일 정도는 하루 3~5회 정도
입안을 가글해 줍니다.
입안을 가글해 줍니다.
부드러운 미세모 칫솔을 사용하고,
부드럽게 양치질 합니다.
부드럽게 양치질 합니다.
맵고 짠 음식은
피하는 것이 좋습니다.
피하는 것이 좋습니다.
최소 1주일 정도는 술과 담배를
하지 않는 것이 좋습니다.
하지 않는 것이 좋습니다.
잇몸 성형 치료장비
물방울 레이져
물방울 레이져

- 01 적은 마취로 편안한 시술이 가능
- 02 열에 의한 손상이나 진동에 의한 미세균열이 없음
- 03 시술 후 바로 정상 음식 섭취 및 구강활동 가능
- 04 시술 후 통증, 부기 등 부작용이 적음
- 05 치과 치료 소음이 적음
- 06 좁고 미세한 부분으로 치료 가능
- 07 출혈이 거의 없고 회복이 빠름
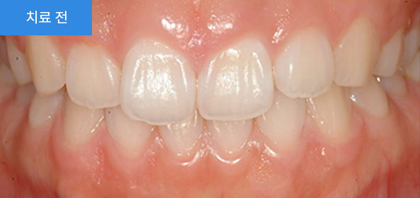
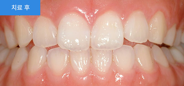
스마일라인 잇몸성형 전/후












